概要
血管肉腫は犬における悪性腫瘍の一つで、血管の内皮細胞に由来する腫瘍です。犬の全腫瘍の約2%、脾臓原発腫瘍の約50%を占めます。中~高齢犬に多く発生し、大型犬種(例:ゴールデン・レトリバー、ジャーマン・シェパード、ラブラドール・レトリバー)で特に好発します。この腫瘍は進行が早く、非常に悪性度の高い腫瘍です。原発部位は脾臓が最好発部位ですが、心臓、肝臓、皮膚、腎臓、後腹膜腔、眼球結膜、虹彩、筋肉、口腔内、鼻腔内など多岐に渡ります。通常外科治療後に内科治療が行われます。原発腫瘍が外科困難などでコントロールできない場合、予後は不良です。脾臓原発の血管肉腫では、脾臓摘出のみを行った場合の生存期間中央値が19〜86日であるのに対し、脾臓摘出を行ったのちドキソルビシン単剤の化学療法を行った場合の生存期間中央値は172〜274日まで延長します。この腫瘍の予後は臨床ステージと関連しており、ステージ1(脾臓の破裂や遠隔転移なし)は外科治療と化学療法の併用で生存期間中央値は約1年、ステージ2(脾臓の破裂あり)では約4〜5ヶ月と報告されています。早期の診断、治療が重要です。
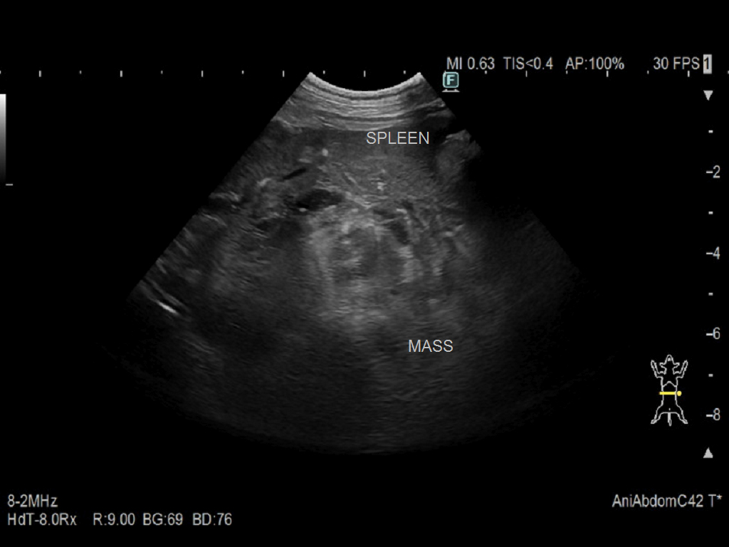
症例(脾臓血管肉腫)
犬種:ゴールデン・レトリバー 性別:去勢オス 年齢:8歳 体重:32kg 主訴:急な元気消失、虚弱、腹部膨満
検査所見
身体検査:粘膜蒼白、腹部膨満 血液検査:貧血(PCV 20%)、凝固異常(PT延長、APTT延長) 画像検査: ・X線検査:腹水の貯留が認められた。 ・腹部超音波:脾臓に多発性の低エコー性病変を認めた(図1)。多量の腹水を確認した(図2)。超音波ガイド下で腹腔穿刺を実施し、血様液を採取した。診断
各種検査結果より脾臓腫瘤破裂による腹腔内出血と診断した。治療と経過
治療:緊急的に脾臓摘出術を実施。開腹後、腫瘍の破裂(図3)と広範な出血を確認した。脾臓周囲の血管を止血し、脾臓の全摘出を行った。摘出した脾臓の病理組織学的検査にて脾臓血管肉腫と診断された。 術後経過:手術後は集中管理下での治療を実施。体調は劇的に回復し術後2日目に退院となった。ご家族との協議の上、比較的副作用の少ないメトロノミック化学療法(※)を実施することとした。症例は術後4ヶ月で腫瘍の肺転移による呼吸不全で亡くなったが、それまで臨床症状は認められず、良好な生活を送ることができた。※メトロノミック化学療法とは
メトロノミック化学療法とは、少量の抗がん剤を間隔を空けずに継続的に投与する治療法です。従来の化学療法とは異なり、腫瘍そのものの退行を目的とせず、腫瘍が成長するために必要な血管の新生を抑えることで腫瘍の成長を抑える効果があります。この治療法は、自宅での治療が可能、化学療法による副作用が少ないというメリットがあり、外科手術後の補助療法、外科手術が困難な症例での緩和療法として選択されることがあります。従来の化学療法との違い
| 従来の化学療法 | メトロノミック化学療法 |
|---|---|
| 高用量の抗がん剤を間隔をあけて投与 | 少量の抗がん剤を頻回に継続投与 |
| 腫瘍細胞を直接攻撃する | 血管新生の抑制を主な目的とする |
| 副作用が起こりやすい | 副作用が少ないことが多い |



図3
※クリックすると画像が確認できます
症例(腎臓血管肉腫)
犬種:柴犬 性別:避妊メス 年齢:14歳 体重:8kg 主訴:健康診断にて腎数値上昇が見られたため、精査希望
検査所見
画像検査: ・腹部超音波検査:左側腎臓の尾側に不均一な低エコー性腫瘤を認めた(図1)。右側の腎臓は正常であった。 細胞診検査: 超音波ガイド下で腫瘤への穿刺吸引を行った。鏡検では不整形の間葉系細胞が少量採取された。診断
各種検査結果より腎臓血管肉腫を疑った。確定診断には組織生検が必要であることを説明し、ご家族も希望されたため、腫瘍の摘出を計画した。治療と経過
治療:手術予定日の当日、急にぐったりしているとのことで来院された。来院時には血腹と貧血(PCV12%)が確認された。輸血(※)を開始し、状態を安定化させたのち、片側腎摘出術を行った。開腹後、腫瘍の破裂と広範な出血を確認した。腎動脈、腎静脈、尿管を離断し、左側腎臓および腎臓腫瘤を切除した(図2)。また、脾臓および大網にも結節が認められたため、同時に切除を実施した。病理組織学的検査にて腎臓は血管肉腫、脾臓および大網の結節は、血管肉腫の転移であると診断された。 術後経過:手術後は集中管理下での治療を実施。術後2日目に退院となった。その後の治療計画としてご家族は健康寿命を最大限延長させることを希望され、化学療法(ドキソルビシン単剤プロトコール)を実施することとした。症例はおよそ6ヶ月間の抗がん剤治療を終え寛解状態であったが、術後11ヶ月目で腫瘍の肺転移が確認され、術後13ヶ月目に呼吸不全で亡くなった。肺転移病巣が進行するまで臨床症状は認められず、良好な生活を送ることができた。※犬の輸血ドナー登録にご協力ください
輸血は、命を救うために欠かせない治療法の一つです。交通事故や急性出血、血液疾患、手術後の回復など、犬に輸血が必要になる状況は少なくありません。しかし、犬の血液は保存期間が短く、輸血が必要な状況で供血犬から血液を採取します。当院ではスタッフの犬や飼い主様の協力により輸血を確保しておりますが、供血犬(ドナー登録犬)は限られており、まだまだ数が足りていない状況です。輸血は他の犬からの「血液の贈り物」でしか成り立ちません。ドナー犬の献血がなければ、救える命を救えない現実があります。ひとつでも多くの命を救うため、愛犬をドナー犬として登録していただけませんか?ご登録いただける場合や、詳細について知りたい場合は、どうぞ当院までご連絡ください。

図2
※クリックすると画像が確認できます
